임플란트의 중심(心)
왜 심다치과인가요?
빠르고 편안한 임플란트 수술을 하며 어려운 케이스의
임플란트 수술도 가능합니다.

고객의 중심(心)
대학병원급 3인 분과진료시행
의료진의 앞선 기술과 풍부한 노하우가 만나
편안하고 안전한 진료를 약속합니다.
김영덕
대표원장
임플란트, 외과-
양희수
원장
임플란트 수술 전문의 -
정원재
원장
임플란트 수술 전문의
심다치과 진심 ‘心’ 시스템
-
덜 아프게 치료할 수 있을까?4단계 마취요법으로 통증을 최소화하기 위해 노력합니다.
-
보건복지부인증 전문의10년 경력 임상경험을 가지고 수술을 집도합니다.
-
턱관절 때문에 대학병원 가세요?턱의 구조, 교합상태 등을 파악하여 건강보험으로 치료를 합니다.
-
스케일링? 경력 3년차 이상의 치위생사가 시행합니다.치석 제거가 자연치 보존의 첫 우선 순위 입니다.
하루에 임플란트 식립
20,000건 이상 시술경험
20,000건 이상 시술경험
심다치과의 의료진은 수많은 경험으로 생긴
노하우로 직접 시술합니다.
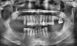
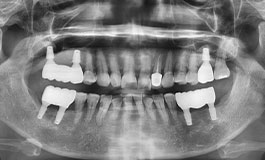
전체 임플란트 하루에 당일 임플란트
심다치과 전체 임플란트 시술 실제 사례 이미지 입니다.
60세 / #하루에 당일 임플란트
“잠들고 일어나니 치아가 생겨 있어서 놀랬어요.”
SIMDA DENTAL CLINIC
심다치과를 선택하는 이유
확실한,
전담 맞춤 진료 체계
전담 맞춤 진료 체계
교정 전담 의료진 1:1 맞춤 진료
구강상태에 따른 1:1 맞춤 상담 진단
디지털 장비를 이용한 정확한 검진
환자의 상태에 따른 맞춤 치료 계획
정기적인 검진 및 철저한 사후 관리

12단계,
빈틈없는 교정시스템
빈틈없는 교정시스템
12단계 교정 시스템
심다치과는 3D CT를 통한 정밀진단으로
환자 개개인에 맞는 교정치료 계획을 수립합니다.

진료과목,
대학병원급 규모, 크기
대학병원급 규모, 크기
12단계 교정 시스템
심다치과는 3D CT를 통한 정밀진단으로
환자 개개인에 맞는 교정치료 계획을 수립합니다.
CONTACT US
서울특별시 서초구 강남대로 605 3층 (잠원동, 휴먼타워)
- 월 수 금
- AM 09:30 ~ PM 18:30
- 화 / 목
- AM 09:30 ~ PM 20:30(야간진료)
- 토요일
- AM 09:30 ~ PM 15:30(점심시간 없이 진료)
- 점심시간
- PM 13:00 ~ PM 14:00
※ 일요일 및 공휴일 휴진
02.541-6880